Focus : Vals alarm bij borstkanker

 

Focus is een Nederlands wetenschapsjournalistiek programma van de NTR waarin presentator Petra Grijzen per aflevering een actueel thema onderzoekt en laat zien hoe wetenschappers naar oplossingen zoeken. Het is onderdeel van NTR Wetenschap en verschijnt ook in andere vormen zoals online en podcast.

 

Dinsdag heeft het programma Focus een aflevering met de titel '๐˜๐˜ข๐˜ญ๐˜ด ๐˜ข๐˜ญ๐˜ข๐˜ณ๐˜ฎ ๐˜ฃ๐˜ช๐˜ซ ๐˜ฃ๐˜ฐ๐˜ณ๐˜ด๐˜ต๐˜ฌ๐˜ข๐˜ฏ๐˜ฌ๐˜ฆ๐˜ณ' met onder andere het onderwerp DCIS: ๐˜‹๐˜ถ๐˜ค๐˜ต๐˜ข๐˜ข๐˜ญ ๐˜ค๐˜ข๐˜ณ๐˜ค๐˜ช๐˜ฏ๐˜ฐ๐˜ฎ๐˜ข ๐˜ช๐˜ฏ ๐˜ด๐˜ช๐˜ต๐˜ถ. โฃ
โฃ
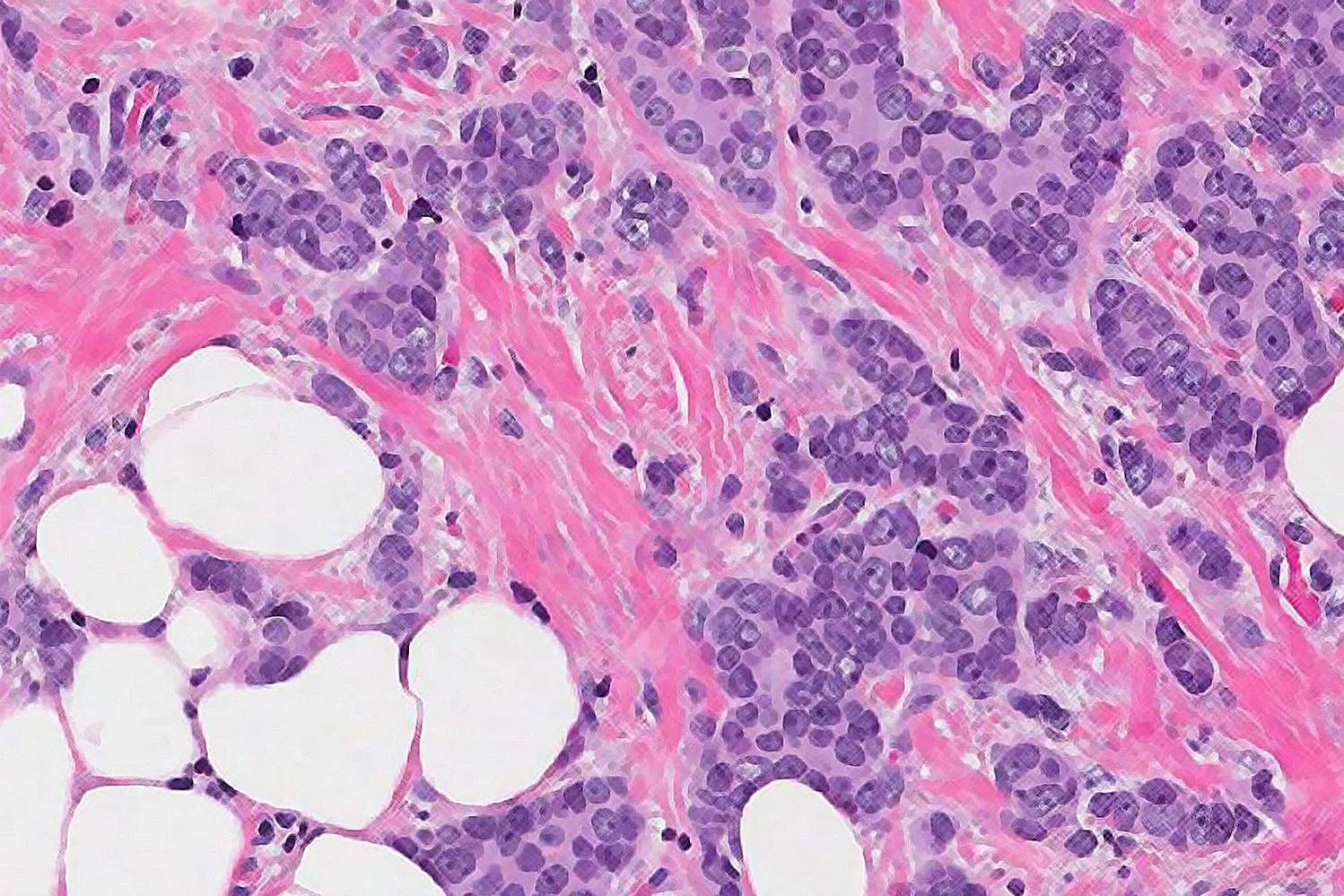
๐ƒ๐ฎ๐œ๐ญ๐š๐š๐ฅ: het zit in de melkgangen van de borst.โฃ
๐‚๐š๐ซ๐œ๐ข๐ง๐จ๐จ๐ฆ: cellen zien eruit als kankercellen onder de microscoop.โฃ
๐ˆ๐ง ๐ฌ๐ข๐ญ๐ฎ: letterlijk โ€œop de plekโ€.โฃโฃ

Daarnaast lezen we op de website van het programma: ๐˜๐˜ฏ ๐˜•๐˜ฆ๐˜ฅ๐˜ฆ๐˜ณ๐˜ญ๐˜ข๐˜ฏ๐˜ฅ ๐˜ฌ๐˜ณ๐˜ช๐˜ซ๐˜จ๐˜ต 1 ๐˜ฐ๐˜ฑ ๐˜ฅ๐˜ฆ 7 ๐˜ท๐˜ณ๐˜ฐ๐˜ถ๐˜ธ๐˜ฆ๐˜ฏ ๐˜ฃ๐˜ฐ๐˜ณ๐˜ด๐˜ต๐˜ฌ๐˜ข๐˜ฏ๐˜ฌ๐˜ฆ๐˜ณ. ๐˜•๐˜ข๐˜ข๐˜ด๐˜ต ๐˜ฅ๐˜ฆ ๐˜ฉ๐˜ฆ๐˜ง๐˜ต๐˜ช๐˜จ๐˜ฆ ๐˜ค๐˜ฐ๐˜ฏ๐˜ง๐˜ณ๐˜ฐ๐˜ฏ๐˜ต๐˜ข๐˜ต๐˜ช๐˜ฆ ๐˜ฎ๐˜ฆ๐˜ต ๐˜ฅ๐˜ฆ ๐˜ป๐˜ช๐˜ฆ๐˜ฌ๐˜ต๐˜ฆ ๐˜ป๐˜ฆ๐˜ญ๐˜ง ๐˜ฎ๐˜ฐ๐˜ฆ๐˜ต๐˜ฆ๐˜ฏ ๐˜ฑ๐˜ข๐˜ต๐˜ชรซ๐˜ฏ๐˜ต๐˜ฆ๐˜ฏ ๐˜ด๐˜ฏ๐˜ฆ๐˜ญ ๐˜ฌ๐˜ช๐˜ฆ๐˜ป๐˜ฆ๐˜ฏ ๐˜ฐ๐˜ง, ๐˜ฆ๐˜ฏ ๐˜ป๐˜ฐ ๐˜ซ๐˜ข, ๐˜ธ๐˜ฆ๐˜ญ๐˜ฌ๐˜ฆ ๐˜ด๐˜ฐ๐˜ฐ๐˜ณ๐˜ต ๐˜ฃ๐˜ฐ๐˜ณ๐˜ด๐˜ต๐˜ณ๐˜ฆ๐˜ค๐˜ฐ๐˜ฏ๐˜ด๐˜ต๐˜ณ๐˜ถ๐˜ค๐˜ต๐˜ช๐˜ฆ ๐˜ป๐˜ฆ ๐˜ธ๐˜ช๐˜ญ๐˜ญ๐˜ฆ๐˜ฏ. ๐˜ž๐˜ฆ๐˜ต๐˜ฆ๐˜ฏ๐˜ด๐˜ค๐˜ฉ๐˜ข๐˜ฑ๐˜ฑ๐˜ฆ๐˜ณ๐˜ด ๐˜ป๐˜ช๐˜ซ๐˜ฏ ๐˜ฃ๐˜ฆ๐˜ป๐˜ช๐˜จ ๐˜ฎ๐˜ฆ๐˜ต ๐˜ฏ๐˜ช๐˜ฆ๐˜ถ๐˜ธ๐˜ฆ ๐˜ต๐˜ฆ๐˜ค๐˜ฉ๐˜ฏ๐˜ช๐˜ฆ๐˜ฌ๐˜ฆ๐˜ฏ ๐˜ฐ๐˜ฎ ๐˜ฅ๐˜ฆ ๐˜ฉ๐˜ถ๐˜ช๐˜ฅ๐˜ช๐˜จ๐˜ฆ ๐˜ฃ๐˜ฐ๐˜ณ๐˜ด๐˜ต๐˜ณ๐˜ฆ๐˜ค๐˜ฐ๐˜ฏ๐˜ด๐˜ต๐˜ณ๐˜ถ๐˜ค๐˜ต๐˜ช๐˜ฆ๐˜ด ๐˜ต๐˜ฆ ๐˜ท๐˜ฆ๐˜ณ๐˜ฃ๐˜ฆ๐˜ต๐˜ฆ๐˜ณ๐˜ฆ๐˜ฏ ๐˜ฐ๐˜ง ๐˜ป๐˜ฆ๐˜ญ๐˜ง๐˜ด ๐˜ต๐˜ฆ ๐˜ท๐˜ฐ๐˜ฐ๐˜ณ๐˜ฌ๐˜ฐ๐˜ฎ๐˜ฆ๐˜ฏ. ๐˜ž๐˜ฆ ๐˜ท๐˜ฐ๐˜ญ๐˜จ๐˜ฆ๐˜ฏ ๐˜ฆ๐˜ฆ๐˜ฏ ๐˜ถ๐˜ฏ๐˜ช๐˜ฆ๐˜ฌ๐˜ฆ ๐˜ฎ๐˜ช๐˜ค๐˜ณ๐˜ฐ๐˜ค๐˜ฉ๐˜ช๐˜ณ๐˜ถ๐˜ณ๐˜จ๐˜ช๐˜ด๐˜ค๐˜ฉ๐˜ฆ ๐˜ฐ๐˜ฑ๐˜ฆ๐˜ณ๐˜ข๐˜ต๐˜ช๐˜ฆ ๐˜ฐ๐˜ฎ ๐˜ฐ๐˜ฆ๐˜ฅ๐˜ฆ๐˜ฆ๐˜ฎ ๐˜ฏ๐˜ข ๐˜ฆ๐˜ฆ๐˜ฏ ๐˜ข๐˜ฎ๐˜ฑ๐˜ถ๐˜ต๐˜ข๐˜ต๐˜ช๐˜ฆ ๐˜ต๐˜ฆ ๐˜ฃ๐˜ฆ๐˜ฉ๐˜ข๐˜ฏ๐˜ฅ๐˜ฆ๐˜ญ๐˜ฆ๐˜ฏ. ๐˜๐˜ฏ ๐˜ฆ๐˜ฆ๐˜ฏ ๐˜ข๐˜ฏ๐˜ฅ๐˜ฆ๐˜ณ ๐˜ญ๐˜ข๐˜ฃ ๐˜ธ๐˜ฆ๐˜ณ๐˜ฌ๐˜ฆ๐˜ฏ ๐˜ป๐˜ฆ ๐˜ข๐˜ข๐˜ฏ ๐˜ฎ๐˜ช๐˜ฏ๐˜ช-๐˜ด๐˜ต๐˜ฆ๐˜ญ๐˜ญ๐˜ข๐˜จ๐˜ฆ๐˜ด ๐˜ท๐˜ข๐˜ฏ ๐˜ฐ๐˜ฑ๐˜ญ๐˜ฐ๐˜ด๐˜ฃ๐˜ข๐˜ข๐˜ณ ๐˜ฃ๐˜ช๐˜ฐ๐˜ฎ๐˜ข๐˜ต๐˜ฆ๐˜ณ๐˜ช๐˜ข๐˜ข๐˜ญ, ๐˜ฐ๐˜ฎ ๐˜ฃ๐˜ฐ๐˜ณ๐˜ด๐˜ต๐˜ค๐˜ฆ๐˜ญ๐˜ญ๐˜ฆ๐˜ฏ ๐˜ด๐˜ถ๐˜ค๐˜ค๐˜ฆ๐˜ด๐˜ท๐˜ฐ๐˜ญ๐˜ญ๐˜ฆ๐˜ณ ๐˜ต๐˜ฆ ๐˜ต๐˜ณ๐˜ข๐˜ฏ๐˜ด๐˜ฑ๐˜ญ๐˜ข๐˜ฏ๐˜ต๐˜ฆ๐˜ณ๐˜ฆ๐˜ฏ.โฃ

โฃ

๐๐๐Ž ๐Ÿ, ๐Ÿ๐Ÿ:๐Ÿ๐ŸŽ - ๐Ÿ๐Ÿ:๐ŸŽ๐ŸŽ ๐ฎ๐ฎ๐ซโฃ

โฃ

 

Naar de website van Focus


Meest recente berichten

Volgende
Volgende

Van harte gefeliciteerd met je oratie, prof. dr. Agnes Jager!